Блог Mirakl
всего записей -
4577
всего записей -
4577
Минобороны Белоруссии сообщило о значительном увеличении украинских войск у своих границ
Украина держит на границе Беларуси более ста тысяч военных
Минобороны Франции обвинил РФ в "агрессивном поведении" в отношении французских вооружённых сил
Министр обороны Франции Себастьян Лекорню выразил обеспокоенность по поводу поведения России
Россия задает новый вектор в космической отрасли: от военных спутников до инновационных ракет
Россия намерена оставаться в авангарде всех инноваций в мировой космонавтике и вернуть лидерство по запускам ракет.
Российский автопром переходит на отечественные системы безопасности
На российские автомобили начнут ставить отечественные подушки и ремни безопасности
Россия проявляет интерес к сотрудничеству с Турцией по проекту истребителя Kaan
Российские технологические компании заинтересованы в совместной работе над турецким истребителем Kaan
Концерн "Калашников" наращивает производственные мощности для выпуска боеприпасов
Концерн "Калашников" расширяет свое производство за счет строительства нового цеха для выпуска боеприпасов, оборудованного современным программным обеспечением.
Модернизированные БМП-1 АМ «Басурманин» усиливают арсенал российской армии
Российская армия пополнилась модернизированными боевыми машинами пехоты БМП-1 АМ «Басурманин», обладающими улучшенными боевыми характеристиками для противодействия легкобронированной технике и беспилотникам.
«Сбер» в поиске талантов для разработки человекоподобных роботов
«Сбер» объявил о начале активного поиска инженеров и специалистов в области искусственного интеллекта.
Якутские вездеходы «Бэргэн» укрепляют транспортный арсенал российских военных
Военные России скоро получат два снегоболотохода «Бэргэн» от якутской компании «Бэргэн Мото», отличающихся высокой проходимостью, усиленным кузовом и способностью перевозить тяжелые грузы.
MacRumors: Мошенники обманули Apple на 3 млн долларов - им грозит 20 лет тюрьмы
Двум гражданам Китая, обвиняемым в мошенничестве на сумму более $3 млн за обмен поддельных iPhone на оригинальные через сервисные центры Apple, грозит до 20 лет тюремного заключения.
Япония инвестирует миллиарды долларов в проект Rapidus, чтобы вернуть лидерство в производстве чипов
Япония предпринимает масштабные усилия для возрождения своего лидерства в полупроводниковой отрасли, инвестируя миллиарды долларов в стартап Rapidus и привлекая крупных международных производителей чипов.
Владимир Путин: Россия всегда выступала против размещения ядерного оружия в космосе
В контексте обвинений США в адрес России о разработке космического оружия, президент Владимир Путин заявил о мирных намерениях России в космосе и отсутствии планов по размещению ядерного оружия на орбите.
Intel открывает свои производственные мощности для аренды другим производителям чипов
Intel объявил о новой стратегии в сфере контрактного производства, предлагая аренду своего оборудования и производственных мощностей другим производителям чипов.
LG Innotek разрабатывает революционную автомобильную камеру с быстрым оттаиванием
LG Innotek разрабатывает новаторскую автомобильную камеру с системой быстрого подогрева, способную эффективно бороться с обледенением при температуре до -18°C за 4 минуты
VK представляет новаторскую систему Tarantool Column Store для обработки данных в реальном времени
VK запустила Tarantool Column Store, инновационную систему для мгновенной обработки и анализа данных в реальном времени.
Новая угроза для россиян: мошенники обманывают через фальшивые кэшбек-предложения
В России набирает обороты новая мошенническая схема, связанная с предложениями кэшбека от несуществующих акций онлайн-магазинов и маркетплейсов.
«Яндекс» запускает инновационный сервис для мониторинга вулканического пепла
Яндекс представил новый сервис для прогнозирования распространения вулканического пепла, основанный на данных машинного обучения и математической модели атмосферного рассеивания.
Рост вымогательских кибератак ставит компании перед сложным выбором
Лаборатория Касперского" сообщает о значительном увеличении количества и сложности кибератак.
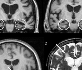
Ученые создали вычислительную модель, имитирующую семантическую деменцию
Ученые, включая специалистов из НИУ ВШЭ, создали уникальную компьютерную модель, симулирующую семантическую деменцию и ее воздействие на понимание языка.
Минцифры вводит новые критерии для ИТ-аккредитации, исключая иностранные "дочки" из льгот
Минцифры России обновляет критерии для включения в реестр аккредитованных ИТ-компаний, исключая из него дочерние предприятия иностранных компаний.


Сейчас обсуждают